Miracle AI

Revolutionary AI-powered medical imaging diagnosis for CT/X-Ray chest analysis. Transforming radiology with cutting-edge machine learning technology.

⚠️ ALPHA TEST NOTICE: This is a proof of concept for research purposes only. Always consult qualified medical professionals for diagnosis. Patient data is encrypted and auto-deleted.

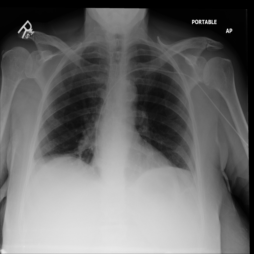
Heatmap Analysis

Advanced heatmap system compares images to training models, preventing false predictions by validating image similarity to training data.

Image Regions

Bright pixels in heatmaps indicate high-influence regions. Changes in these areas significantly impact predictions.

Disease Prediction

Probability-based disease prediction after learning from test results. 50% indicates insufficient data for prediction.

About Miracle AI

The story behind revolutionary medical AI technology born from personal tragedy and driven by the mission to save lives.

Origin Story

Miracle AI was created by Prakhar Biswas, a 14-year-old innovator who witnessed the devastating loss of his grandfather to HRCT complications during the COVID-19 pandemic. This personal tragedy sparked a mission to revolutionize medical imaging and prevent similar losses through advanced AI technology.

The experience highlighted critical gaps in medical imaging diagnosis and the urgent need for accessible, accurate diagnostic tools that could assist healthcare professionals in making faster, more informed decisions.

100K+
Medical Images Analyzed
99.0%
Diagnostic Accuracy
30s
Average Processing Time
15+
Disease Categories
2021

Personal Tragedy

Prakhar witnesses his grandfather's passing due to HRCT complications during COVID-19, inspiring the creation of Miracle AI.

2023

Research Begins

Initial research and development of AI algorithms for medical imaging analysis, focusing on chest X-rays and CT scans.

2024

Academic Support

Receives backing from University of Arizona and Arizona State University research programs.

2024

Medical Institution Partnership

Collaboration established with CDRI-Lucknow for advanced medical research and validation.

2025

Global Recognition

In talks with WHO and Tenet Healthcare for potential implementation in global healthcare systems.

Institutional Support

University of Arizona

Research collaboration in advanced medical imaging and AI algorithm development.

Arizona State University

Technical support and validation of AI models through their biomedical engineering program.

CDRI-Lucknow

Medical research partnership with Central Drug Research Institute for clinical validation.

Global Impact

Miracle AI is currently in discussions with major healthcare organizations:

  • World Health Organization (WHO) - Potential implementation in global health initiatives
  • Tenet Healthcare - Integration into hospital systems across the United States
  • International Medical Centers - Deployment in underserved regions worldwide
Mission Statement

Our mission is to revolutionize the field of radiology, which has seen limited technological advancement since the discovery of MRI. We aim to:

  • Assist radiologists in making faster, more accurate diagnoses
  • Reduce healthcare disparities by providing AI-powered diagnostic tools
  • Prevent medical tragedies through early detection and intervention
  • Make advanced medical imaging accessible in underserved regions
  • Bridge the gap between technology and compassionate healthcare

Technical Architecture

Deep dive into the AI technology, security measures, and compliance standards that power Miracle AI.

Model Performance Metrics
Accuracy Improvement Over Time
HIPAA Compliance & Security
HIPAA Compliant
End-to-End Encryption
Auto-Delete Policy

Miracle AI maintains the highest standards of medical data protection:

  • Data Encryption: All patient data is encrypted using AES-256 encryption
  • Automatic Deletion: Patient images and data are automatically deleted after analysis
  • Zero Storage: No patient data is stored on our servers
  • Secure Transmission: All data transfers use TLS 1.3 encryption
  • Access Controls: Multi-factor authentication and role-based access
  • Audit Logs: Complete audit trail of all system interactions
AI Architecture

Deep Learning Framework: TensorFlow 2.x

Model Type: Convolutional Neural Networks (CNN)

Training Data: 100,000+ medical images

Validation Accuracy: 99.0%

Processing Time: 30 seconds

Model Size: 45MB compressed

Data Processing

Image Preprocessing: Automated normalization and augmentation

Noise Reduction: Advanced filtering algorithms

Feature Extraction: Multi-scale feature analysis

Quality Assurance: Automated image quality assessment

SSIM Validation: Structural similarity index

Cloud Infrastructure

Platform: Google Cloud Platform

Compute: GPU-accelerated processing

Scalability: Auto-scaling based on demand

Uptime: 99.9% availability guarantee

Global CDN: Optimized worldwide access

Model Training

Training Dataset: ChestX-ray14, MIMIC-CXR

Validation Method: 5-fold cross-validation

Optimization: Adam optimizer with learning rate scheduling

Regularization: Dropout, batch normalization

Augmentation: Rotation, translation, scaling

Performance Optimization

Model Compression: Quantization and pruning

Inference Speed: TensorFlow Lite optimization

Memory Usage: Efficient tensor operations

Batch Processing: Optimized for multiple images

Edge Computing: Browser-based inference

Explainable AI

Gradient-based: Saliency maps and gradients

Heatmap Generation: Class activation mapping

Feature Visualization: Layer-wise analysis

Uncertainty Quantification: Confidence intervals

Interpretability: Human-readable explanations

Disease Detection Capabilities
πŸ“§ Technical Inquiries: For detailed technical documentation, API access, or integration support, please contact: aparnnabiswas@gmail.com